インプラント症例⑦ 40代 男性 「左下第一大臼歯 インプラントケース」
【左下第一大臼歯 インプラントケース】
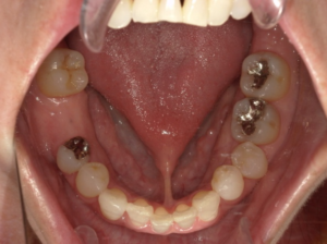
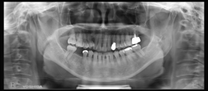
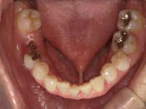
(治療前)


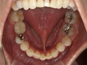
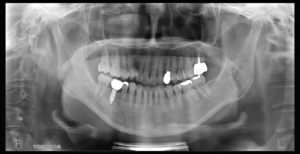
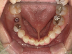
(治療後)


| 年齢 | 50代 男性 |
| 治療内容 | インプラントによる欠損補綴 |
| 治療部位 | 右下6番 |
| 費用 | インプラント治療:440,000円(税込) |
| 治療期間 | 約6か月 |
| リスク・副作用 | ●第一治療/第二治療:
術後の反応性の出血、腫れ、あざ など ●治療完了後: 清掃不良や咬合負担によるなどに伴うインプラント周囲炎 |
| 担当医師 |
・日本口腔インプラント学会 所属 ・大阪口腔インプラント研究会 会員 |
施術の説明:
・インプラント治療(治療回数:8回 治療期間:6か月)
右下6番が欠損してることにより、噛み合わせの一部を失っていた状態です。
隣接歯があるため、ブリッジや義歯を補綴物として選択もできますが、隣接歯に負荷がかかってしまうため、予後を考えてインプラントを選択しました。
インプラントは単独での補綴物になるため、隣接歯への影響はなく、噛み合わせの再現もできる唯一の補綴物です。
▼第一治療終了後

傷口が小さく、術後の疼痛もほとんどありませんでした。
▼第二治療終了後

経過も良好で、問題なく過ごしています。
歯科医師:初田 和史
日本口腔インプラント学会 所属
大阪口腔インプラント研究会 会員
| 医院名 | はつだ歯科クリニック |
|---|---|
| 院長 | 初田 和史 |
| 住所 | 〒651-2113 兵庫県神戸市西区伊川谷町有瀬320-1 |
| 電話番号 | 078-976-2001 |
| URL | https://www.hatsuda-dc.com/ |
| 診療内容 | むし歯、歯周病、小児歯科、入れ歯(義歯)、予防・クリーニング、ホワイトニング、セラミック治療、インプラント、歯科口腔外科、矯正歯科、インビザライン、マウスピース製作、各種歯科検診など |
| 概要 | 神戸市西区伊川谷町・垂水エリアにある歯科医院です。
当院ではご納得・ご満足いただける治療のために、治療開始前のインフォームドコンセント・インフォームドチョイスを心掛けています。充分なご理解をいただき、納得できる治療方法をご選択ください。 |
最近の投稿
- マウスピース矯正 症例④ 40代 男性 「上前歯が出ているのが気になる、下前歯のかたつきが気になる」
- マウスピース矯正 症例③ 50代 女性 「上下前歯のかたつきが気になる」
- インプラント症例⑦ 40代 男性 「左下第一大臼歯 インプラントケース」
- インプラント症例⑥ 40代 女性 「右上第一大臼歯 インプラントケース」
- マウスピース矯正 症例② 30代 女性 「前歯のガタガタが気になる」




